胸腺腫の手術
2025年8月18日診療日誌
先口をくちゃくちゃしている、との症状で猫ちゃんが来院されました。
口の中を見てみると、、

舌の付け根が腫れていることがわかりました。
この状態で最も起こり得るのが「唾液腺嚢腫」と呼ばれる病気で、唾液を運ぶ管が舌の中で破断して、プクッと唾液を粘膜の下に溜め込んでしまっている病気です。
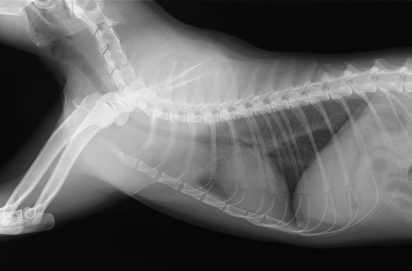
通常は手術で治療する病気なのですが、術前検査を行うと、、

レントゲン検査にて胸の中にシコリを偶然発見しました。。
実は予想外の結果で、こうなると唾液腺嚢腫以外の可能性を考える必要があります。後日、当院にて全身麻酔にてCT撮影を実施しました。

結果、前縦隔と呼ばれる胸の中の空間に、女性の拳大の腫瘤病変を発見し、細胞診を行って得られた病名は「胸腺腫」でした。
この胸腺腫は良性の病変ですが、頭部に環流する血管を圧迫して、血流が悪くなってしまったために、舌の下に唾液ではなく浮腫を起こしてしまっていました。
当院では口腔の病気は毎日のように診察、治療を行っていますが、レアケースですがこのような胸部の腫瘍性疾患が原因のこともあります。その後、当院にて胸骨縦切開による開胸手術を行い、無事に胸腺腫の摘出を終えています。現在まで症状の再発、腫瘍の再発もなく、経過良好です。
当院ではレアケースも含め、さまざまなケースに対応できるよう準備をしています。CT撮影が役立ったケースでした。
山本@最近では口腔疾患でもCT撮影を併用する機会が多くなったと感じる獣医師
